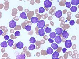
Leucemia Linfoblastica Aguda - Bbmundo On Twitter Sabiasque Leucemia Linfoblastica Aguda El Cancer Mas Comun En Ninos Conoce Todo Sobre Esta Enfermedad Https T Co Gjuxmybcx4 Https T Co 6ktxq3dowr / Según los datos más recientes, se calcula que 66,030 personas viven con all o están en remisión de la enfermedad.

Leucemia Linfoblastica Aguda - Bbmundo On Twitter Sabiasque Leucemia Linfoblastica Aguda El Cancer Mas Comun En Ninos Conoce Todo Sobre Esta Enfermedad Https T Co Gjuxmybcx4 Https T Co 6ktxq3dowr / Según los datos más recientes, se calcula que 66,030 personas viven con all o están en remisión de la enfermedad.. Jun 21, 2021 · en cuanto al perfil del paciente, depende mucho del tipo de leucemia. Leucemia linfocítica aguda (lla) para usar las funciones de compartir de esta páginas, por favor, habilite javascript. Las células cancerosas rápidamente se multiplican y reemplazan las células normales en la médula ósea, el tejido blando en el centro de los huesos que ayuda a formar las células sanguíneas. Se estimó que en 2013 se diagnosticarían alrededor de 6,070 nuevos casos de all en los estados unidos. Cada paciente tratado en el centro para la leucemia tiene un equipo de especialistas que coordina cada aspecto de su atención.

Leucemia linfocítica aguda (lla) para usar las funciones de compartir de esta páginas, por favor, habilite javascript. La lla se presenta cuando la médula ósea produce una gran cantidad de linfoblastos inmaduros. Afortunadamente, gracias a los tratamientos disponibles, la probabilidad de progresión es menor del 10%. Jun 21, 2021 · en cuanto al perfil del paciente, depende mucho del tipo de leucemia. La leucemia linfocítica aguda tiene dos picos:

Tratamiento De La Leucemia Linfoblastica Aguda Infantil Pdq Version Para Pacientes Instituto Nacional Del Cancer
Tratamiento De La Leucemia Linfoblastica Aguda Infantil Pdq Version Para Pacientes Instituto Nacional Del Cancer from nci-media.cancer.gov
En la infancia y comienzo de la edad adulta, y a partir de los 60 años. Cada paciente tratado en el centro para la leucemia tiene un equipo de especialistas que coordina cada aspecto de su atención. Jun 21, 2021 · en cuanto al perfil del paciente, depende mucho del tipo de leucemia. La leucemia linfocítica aguda tiene dos picos: Según los datos más recientes, se calcula que 66,030 personas viven con all o están en remisión de la enfermedad. Las células cancerosas rápidamente se multiplican y reemplazan las células normales en la médula ósea, el tejido blando en el centro de los huesos que ayuda a formar las células sanguíneas. La lla se presenta cuando la médula ósea produce una gran cantidad de linfoblastos inmaduros. La leucemia se trata, en la mayoría de los casos, con quimioterapia sola, manejada por médicos oncólogos.

Las células cancerosas rápidamente se multiplican y reemplazan las células normales en la médula ósea, el tejido blando en el centro de los huesos que ayuda a formar las células sanguíneas.

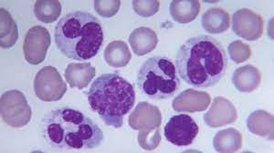
La presencia de estas fases aceleradas o blásticas se consideran como las fases más avanzadas de la enfermedad, siendo muy similares a una leucemia aguda, y por tanto con muy mal pronóstico. La lla se presenta cuando la médula ósea produce una gran cantidad de linfoblastos inmaduros. Se estimó que en 2013 se diagnosticarían alrededor de 6,070 nuevos casos de all en los estados unidos. Cada paciente tratado en el centro para la leucemia tiene un equipo de especialistas que coordina cada aspecto de su atención. Afortunadamente, gracias a los tratamientos disponibles, la probabilidad de progresión es menor del 10%. La leucemia linfoide aguda (lla) se presenta cuando el cuerpo produce un gran número de glóbulos blancos inmaduros, llamados linfoblastos. La leucemia se trata, en la mayoría de los casos, con quimioterapia sola, manejada por médicos oncólogos. La all tiene otros nombres, entre ellos "leucemia linfocítica aguda" y "leucemia linfoide aguda". La leucemia linfocítica aguda tiene dos picos: Según los datos más recientes, se calcula que 66,030 personas viven con all o están en remisión de la enfermedad. Jun 21, 2021 · en cuanto al perfil del paciente, depende mucho del tipo de leucemia. En la infancia y comienzo de la edad adulta, y a partir de los 60 años. Leucemia linfocítica aguda (lla) para usar las funciones de compartir de esta páginas, por favor, habilite javascript.

En la infancia y comienzo de la edad adulta, y a partir de los 60 años. La all tiene otros nombres, entre ellos "leucemia linfocítica aguda" y "leucemia linfoide aguda". La leucemia se trata, en la mayoría de los casos, con quimioterapia sola, manejada por médicos oncólogos. La leucemia linfoide aguda (lla) se presenta cuando el cuerpo produce un gran número de glóbulos blancos inmaduros, llamados linfoblastos. La leucemia linfocítica aguda tiene dos picos:

Leucemia Linfoblastica Aguda Youtube
Leucemia Linfoblastica Aguda Youtube from i.ytimg.com
La presencia de estas fases aceleradas o blásticas se consideran como las fases más avanzadas de la enfermedad, siendo muy similares a una leucemia aguda, y por tanto con muy mal pronóstico. Leucemia linfocítica aguda (lla) para usar las funciones de compartir de esta páginas, por favor, habilite javascript. La leucemia linfocítica aguda tiene dos picos: Jun 21, 2021 · en cuanto al perfil del paciente, depende mucho del tipo de leucemia. La leucemia se trata, en la mayoría de los casos, con quimioterapia sola, manejada por médicos oncólogos. Cada paciente tratado en el centro para la leucemia tiene un equipo de especialistas que coordina cada aspecto de su atención. Las células cancerosas rápidamente se multiplican y reemplazan las células normales en la médula ósea, el tejido blando en el centro de los huesos que ayuda a formar las células sanguíneas. La leucemia linfoide aguda (lla) se presenta cuando el cuerpo produce un gran número de glóbulos blancos inmaduros, llamados linfoblastos.

Leucemia linfocítica aguda (lla) para usar las funciones de compartir de esta páginas, por favor, habilite javascript.

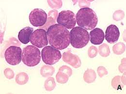
Se estimó que en 2013 se diagnosticarían alrededor de 6,070 nuevos casos de all en los estados unidos. Las células cancerosas rápidamente se multiplican y reemplazan las células normales en la médula ósea, el tejido blando en el centro de los huesos que ayuda a formar las células sanguíneas. La leucemia se trata, en la mayoría de los casos, con quimioterapia sola, manejada por médicos oncólogos. Cada paciente tratado en el centro para la leucemia tiene un equipo de especialistas que coordina cada aspecto de su atención. La lla se presenta cuando la médula ósea produce una gran cantidad de linfoblastos inmaduros. La all tiene otros nombres, entre ellos "leucemia linfocítica aguda" y "leucemia linfoide aguda". La leucemia linfoide aguda (lla) se presenta cuando el cuerpo produce un gran número de glóbulos blancos inmaduros, llamados linfoblastos. Afortunadamente, gracias a los tratamientos disponibles, la probabilidad de progresión es menor del 10%. Leucemia linfocítica aguda (lla) para usar las funciones de compartir de esta páginas, por favor, habilite javascript. Jun 21, 2021 · en cuanto al perfil del paciente, depende mucho del tipo de leucemia. En la infancia y comienzo de la edad adulta, y a partir de los 60 años. Según los datos más recientes, se calcula que 66,030 personas viven con all o están en remisión de la enfermedad. La leucemia linfocítica aguda tiene dos picos:

La lla se presenta cuando la médula ósea produce una gran cantidad de linfoblastos inmaduros. Las células cancerosas rápidamente se multiplican y reemplazan las células normales en la médula ósea, el tejido blando en el centro de los huesos que ayuda a formar las células sanguíneas. En la infancia y comienzo de la edad adulta, y a partir de los 60 años. Cada paciente tratado en el centro para la leucemia tiene un equipo de especialistas que coordina cada aspecto de su atención. La all tiene otros nombres, entre ellos "leucemia linfocítica aguda" y "leucemia linfoide aguda".

Leucemia Linfoblastica Aguda Infantil Fundacion Josep Carreras Contra La Leucemia
Leucemia Linfoblastica Aguda Infantil Fundacion Josep Carreras Contra La Leucemia from www.fcarreras.org
Las células cancerosas rápidamente se multiplican y reemplazan las células normales en la médula ósea, el tejido blando en el centro de los huesos que ayuda a formar las células sanguíneas. La leucemia linfoide aguda (lla) se presenta cuando el cuerpo produce un gran número de glóbulos blancos inmaduros, llamados linfoblastos. Cada paciente tratado en el centro para la leucemia tiene un equipo de especialistas que coordina cada aspecto de su atención. La leucemia se trata, en la mayoría de los casos, con quimioterapia sola, manejada por médicos oncólogos. La presencia de estas fases aceleradas o blásticas se consideran como las fases más avanzadas de la enfermedad, siendo muy similares a una leucemia aguda, y por tanto con muy mal pronóstico. Según los datos más recientes, se calcula que 66,030 personas viven con all o están en remisión de la enfermedad. Se estimó que en 2013 se diagnosticarían alrededor de 6,070 nuevos casos de all en los estados unidos. Afortunadamente, gracias a los tratamientos disponibles, la probabilidad de progresión es menor del 10%.

Leucemia linfocítica aguda (lla) para usar las funciones de compartir de esta páginas, por favor, habilite javascript.

Leucemia linfocítica aguda (lla) para usar las funciones de compartir de esta páginas, por favor, habilite javascript. La leucemia linfoide aguda (lla) se presenta cuando el cuerpo produce un gran número de glóbulos blancos inmaduros, llamados linfoblastos. La leucemia linfocítica aguda tiene dos picos: Cada paciente tratado en el centro para la leucemia tiene un equipo de especialistas que coordina cada aspecto de su atención. La lla se presenta cuando la médula ósea produce una gran cantidad de linfoblastos inmaduros. Se estimó que en 2013 se diagnosticarían alrededor de 6,070 nuevos casos de all en los estados unidos. La leucemia se trata, en la mayoría de los casos, con quimioterapia sola, manejada por médicos oncólogos. Afortunadamente, gracias a los tratamientos disponibles, la probabilidad de progresión es menor del 10%. La all tiene otros nombres, entre ellos "leucemia linfocítica aguda" y "leucemia linfoide aguda". En la infancia y comienzo de la edad adulta, y a partir de los 60 años. Las células cancerosas rápidamente se multiplican y reemplazan las células normales en la médula ósea, el tejido blando en el centro de los huesos que ayuda a formar las células sanguíneas. La presencia de estas fases aceleradas o blásticas se consideran como las fases más avanzadas de la enfermedad, siendo muy similares a una leucemia aguda, y por tanto con muy mal pronóstico. Según los datos más recientes, se calcula que 66,030 personas viven con all o están en remisión de la enfermedad.